论文已发表
注册即可获取德孚的最新动态
IF 收录期刊
Original Research
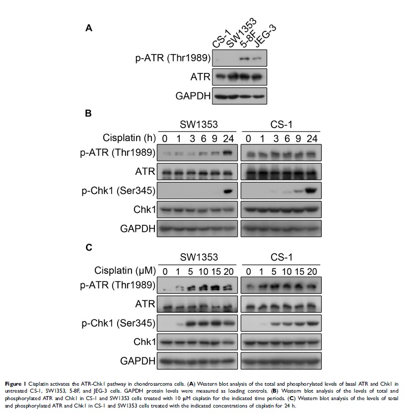
VE-822 介导的 ATR 信号传导抑制通过逆转 DNA 损伤反应增加软骨肉瘤对顺铂的敏感性

Original Research
拓扑替康的温度敏感相变水凝胶对视网膜母细胞瘤细胞具有长期持续的抗肿瘤作用

Original Research
热休克蛋白 22 对香叶基香叶基丙酮的保护作用以免受氧化低密度脂蛋白的影响

Original Research
一项门诊队列研究所得出的社区获得性肺炎成人呼吸道病原体的患病率

Original Research
生活在中国的老年人的身体、认知、行为和消极情绪:全国人口调查

Original Research
宫颈癌死亡率最高地区–中国陇南妇女 HPV 相关的 DNA 损伤与宫颈癌前病变及宫颈癌发生相关
