-
Original Research

- 作者:Jiqing Su, Wen Chen, Huiyun Yang, Jidong Hong, Zijian Zhang, Guangzheng Yang, Li Li, Rui Wei
- 期刊:OncoTargets and Therapy
-
Original Research

- 作者:Yifen Wu, Rong Li, Junyi Zhang, Gang Wang, Bin Liu, Xiaofang Huang, Tao Zhang, Rongcheng Luo
- 期刊:OncoTargets and Therapy
-
Original Research

- 作者:Hua Wang, Liang Wang, ZhiJun Wuxiao, HuiQiang Huang, WenQi Jiang, ZhiMing Li, Yue Lu, ZhongJun Xia
- 期刊:OncoTargets and Therapy
-
Original Research

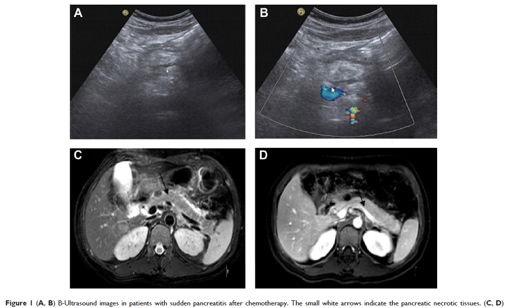
- 作者:Xinjun Zhao, Yue Hua, Hongmei Chen, Haiyu Yang, Tao Zhang, Guiqiong Huang, Huijie Fan, Zhangbin Tan, Xiaofang Huang, Bin Liu, Yingchun Zhou
- 期刊:Therapeutics and Clinical Risk Management
-
Original Research

- 作者:Biyuan Zhu, Biqing Zhu, Chaolie Xiao, Zhiwen Zheng
- 期刊:International Journal of Chronic Obstructive Pulmonary Disease
-
Original Research

- 作者:Yanlei Ji, Zhen Han, Limei Shao, Yunling Li, Long Zhao, Yuehuan Zhao
- 期刊:OncoTargets and Therapy