-
Original Research

- 作者:Sangang Wu, Qun Li, Juan Zhou, Jiayuan Sun, Fengyan Li, Qin Lin, Zhenyu He
- 期刊:Therapeutics and Clinical Risk Management
-
Short Report

- 作者:Sai-Ping Jiang, Jian Chen, Xing-Guo Zhang, Xiao-Yang Lu, Qing-Wei Zhao
- 期刊:Therapeutics and Clinical Risk Management
-
Case Report

- 作者:Mei-fang Yang, Hai-nv Gao, Lan-juan Li
- 期刊:Therapeutics and Clinical Risk Management
-
Original Research

- 作者:Yun Hu, Yi-Ling Ding, Ling Yu
- 期刊:Therapeutics and Clinical Risk Management
-
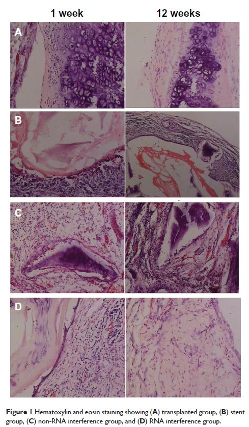
Original Research

- 作者:Zhenghui Wang, Xiaoli Li, Xi-Jing He, Xianghong Zhang, Zhuangqun Yang, Min Xu, Baojun Wu, Junbo Tu, Huanan Luo, Jing Yan
- 期刊:Therapeutics and Clinical Risk Management
-
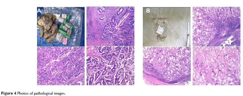
Case Report

- 作者:Kaiwu Xu, Zhihui Chen, Xinming Song
- 期刊:Therapeutics and Clinical Risk Management