-
Original Research

- 作者:Jiangbo Hu, Dilong Chen, Rong Jiang, Qunyou Tan, Biyue Zhu, Jingqing Zhang
- 期刊:International Journal of Nanomedicine
-
Review

- 作者:Lu-Ning Wang, Ming Jin, Yudong Zheng, Yueping Guan, Xin Lu, Jing-Li Luo
- 期刊:International Journal of Nanomedicine
-
Original Research

- 作者:Jie Gao, Jun-Fa Xue, Meng Xu, Bao-Song Gui, Feng-Xin Wang, Jian-Ming Ouyang
- 期刊:International Journal of Nanomedicine
-
Original Research

- 作者:Fengan Ding, Yiping Li, Jing Liu, Lei Liu, Wenmin Yu, Zhi Wang, Haifeng Ni, Bicheng Liu, Pingsheng Chen
- 期刊:International Journal of Nanomedicine
-
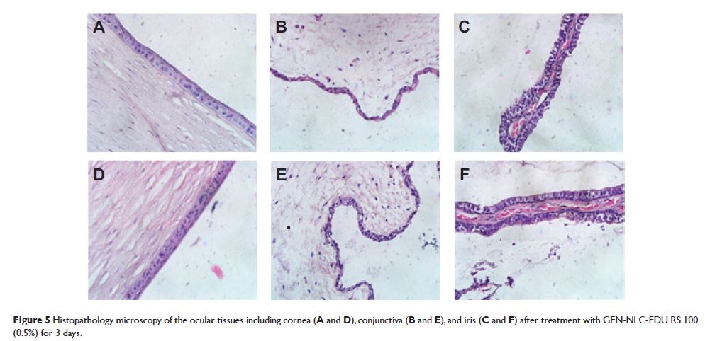
Original Research

- 作者:Wenji Zhang, Xuedong Li, Tiantian Ye, Fen Chen, Shihui Yu, Jianting Chen, Xinggang Yang, Na Yang, Jinsong Zhang, Jinlu Liu, Weisan Pan, Jun Kong
- 期刊:International Journal of Nanomedicine
-
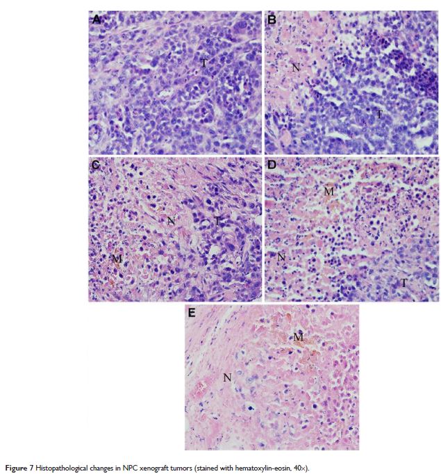
Original Research

- 作者:Rui Yang, YanLi An, FengQin Miao, MengFei Li, PeiDang Liu, QiuSha Tang
- 期刊:International Journal of Nanomedicine