-
Review

- 作者:Yunpeng Cai, Mingxin Xu, Minglu Yuan, Zhenguo Liu, Weien Yuan
- 期刊:International Journal of Nanomedicine
-
Original Research

- 作者:Li-Na Shen, Yong-Tai Zhang, Qin Wang, Ling Xu, Nian-Ping Feng
- 期刊:International Journal of Nanomedicine
-
Original Research

- 作者:Hongmei Song, Sijia Liu, Caixia Li, Yanyan Geng, Gang Wang, Zhongwei Gu
- 期刊:International Journal of Nanomedicine
-
Original Research

- 作者:Wei Gao, Zhiqiang Lin, Meiwan Chen, Xiucong Yang, Zheng Cui, Xiaofei Zhang, Lan Yuan, Qiang Zhang
- 期刊:International Journal of Nanomedicine
-
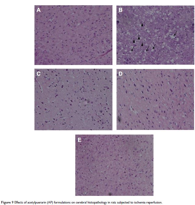
Original Research

- 作者:Deqing Sun, Xinbing Wei, Xia Xue, Zengjun Fang, Manru Ren, Haiyan Lou, Xiumei Zhang
- 期刊:International Journal of Nanomedicine
-
Original Research

- 作者:Jinhua Li, Yuqin Qiao, Hongqin Zhu, Fanhao Meng, Xuanyong Liu
- 期刊:International Journal of Nanomedicine