论文已发表
注册即可获取德孚的最新动态
IF 收录期刊
Original Research
LncRNA MIR194-2HG 通过调节 miR-1207-5p/TCF19/Wnt/β-Catenin 信号传导促进肝癌细胞增殖和转移

Original Research
长非编码 RNA NCK1-AS1 通过调节 miR-137/NUP43 轴在胃癌中发挥致癌作用

Original Research
Linc01094 通过海绵化 miR-126-5p 促进胶质母细胞瘤的生长和转移相关特征

Original Research
通过高通量靶向 DNA 甲基化测序对隐源性肝细胞癌差异性 DNA 甲基化谱的研究:隐源性肝细胞癌的初步研究

Original Research
Cbl 原致癌基因 B(CBLB)c.197A>T 突变可诱导部分 I 型多发性对称性脂肪瘤病(MSL)患者的轻度代谢功能障碍

Original Research
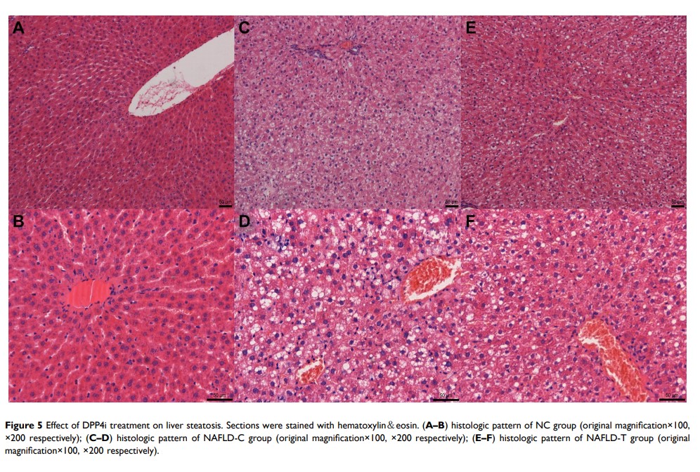
沙格列汀:一种二肽基肽酶4抑制剂对非酒精性脂肪肝的影响
