论文已发表
注册即可获取德孚的最新动态
IF 收录期刊
Original Research
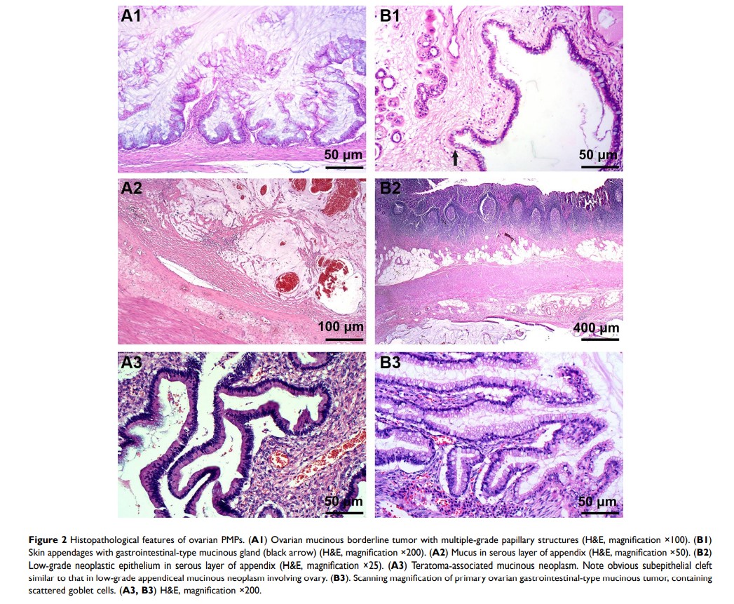
源自卵巢的腹膜假黏液瘤的临床病理特征

Original Research
环状 RNA circRNA_103809 通过激活 miR-516a-5p/FBXL18 轴来加速膀胱癌的进展并增强化疗耐药性

Original Research
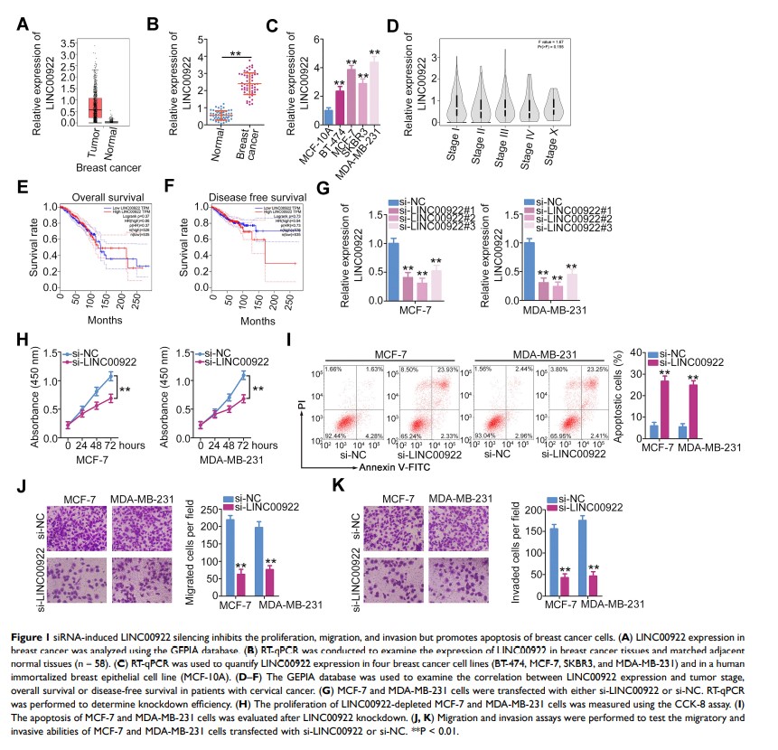
基因间长非编码 RNA LINC00922 通过调节 microRNA-424-5p/BDNF 轴加剧了乳腺癌的恶性表型

Original Research
术后低剂量放疗对无高危因素的晚期咽喉癌患者的疗效

Original Research
神经浸润和术后并发症是胃癌根治性切除术后早期复发和生存率的独立预测因子

Original Research
开发和验证基于临床病理学的诺模图,以预测接受肝切除术联合微波消融治疗后复发性肝细胞癌患者的生存结果
