论文已发表
注册即可获取德孚的最新动态
IF 收录期刊
Review
腰椎手术的竖脊肌平面阻滞:系统性回顾

Original Research
特定类型的高危人乳头瘤病毒模型在未明确诊断意义的非典型鳞状上皮细胞女性患者分类中的效率

Original Research
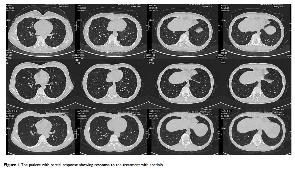
阿帕替尼在晚期滑膜肉瘤中的疗效和安全性:单一机构中 21 位患者的病例系列

Original Research
LncRNA PSMA3-AS1 通过海绵化 MiR-4504 促进肺癌的生长和侵袭

Original Research
厚朴酚通过 miR-101/Mcl-1 轴抑制胰腺癌进展

Original Research
中国汕头市消防人员心理健康的影响因素
