论文已发表
注册即可获取德孚的最新动态
IF 收录期刊
Original Research
硫辛酸可降低糖尿病大鼠多聚 ADP-核糖聚合酶的表达并抑制其细胞凋亡

Original Research
Wnt/β-连环蛋白通路关键基因的变异作为宫颈癌易感性的预测因子

Original Research
驱动蛋白超家族成员 2A(KIF2A)的过表达与食管鳞状细胞癌的增殖和预后有关

Original Research
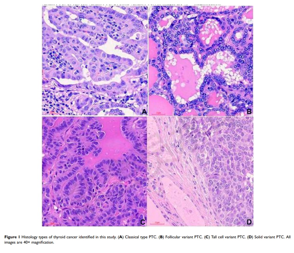
基于高风险因素的考虑,甲状腺癌患者应首选全甲状腺切除术

Original Research
LncRNA PLAC 2 在骨肉瘤中下调并通过 miR-93 调节癌细胞的增殖

Original Research
HMGB1/CXCL12 介导的免疫力和 Th17 细胞可能是高度怀疑的老年自身免疫性癫痫的原因
