论文已发表
注册即可获取德孚的最新动态
IF 收录期刊
Original Research
NUDT21 通过 ERK 通路调控 K562 细胞增殖及凋亡

Original Research
针对患有非小细胞肺癌的非吸烟女性,通过生物信息学分析进行基因鉴定和预后价值分析

Original Research
甲状腺乳头状癌的分子特征:一个潜在的 3-lncRNA 预后特征

Case Report
男性腹壁副乳腺癌一例并文献复习

Original Research
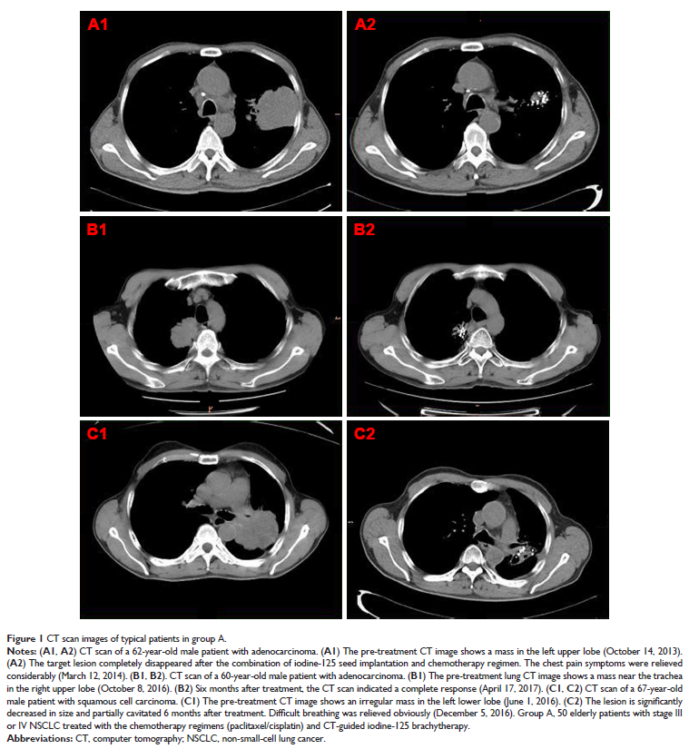
碘-125 粒子近距离放疗联合化疗治疗老年晚期非小细胞肺癌的有效性及安全性研究

Original Research
天冬酰胺合成酶表达与体外和体外结外自然杀伤/T 细胞淋巴瘤中的天冬酰胺酶敏感性有关
