-
Review

- 作者:Min Lin, Baoan Chen
- 期刊:Drug Design, Development and Therapy
-
Original Research

- 作者:Song Gao, Zhi-Ying Zhao, Rong Wu, Yue Zhang, Zhen-Yong Zhang
- 期刊:Cancer Management and Research
-
Original Research

- 作者:Teng Ma, Jian Cai, Yin-Sheng Zhu, Xue-Feng Chu, Yong Wang, Guo-Ping Shi, Zheng-Dong Wang, Shun Yao, Xiao-Feng Wang, Xiao-Yan Jiang
- 期刊:Clinical Interventions in Aging
-
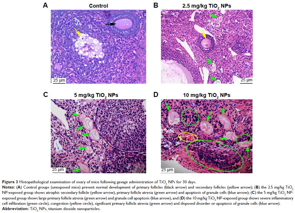
Original Research

- 作者:Fashui Hong, Ling Wang
- 期刊:International Journal of Nanomedicine
-
Original Research

- 作者:Kanqiu Jiang, Mingjing Shen, Weihua Xu
- 期刊:International Journal of Nanomedicine
-
Review

- 作者:Bifan Zhu, Yanfang Wang, Jian Ming, Wen Chen, Luying Zhang
- 期刊:International Journal of Chronic Obstructive Pulmonary Disease