-
Original Research

- 作者:Ning Na, Heng Li, Chengfang Xu, Bin Miao, Liangqing Hong, Zhengyu Huang, Qiu Jiang
- 期刊:Therapeutics and Clinical Risk Management
-
Original Research

- 作者:Shuxin Luan, Hongquan Wan, Shijun Wang, He Li, Baogang Zhang
- 期刊:Neuropsychiatric Disease and Treatment
-
Original Research

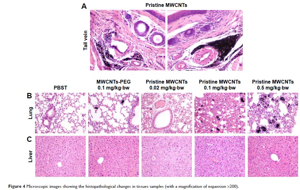
- 作者:Ting Zhang, Meng Tang, Shanshan Zhang, Yuanyuan Hu, Han Li, Tao Zhang, Yuying Xue, Yuepu Pu
- 期刊:International Journal of Nanomedicine
-
Original Research

- 作者:Shuqin Ni, Lei Qiu, Guodong Zhang, Haiyan Zhou, Yong Han
- 期刊:International Journal of Nanomedicine
-
Original Research

- 作者:Jiawei Sun, Lei Jiang, Yi Lin, Ethan Michael Gerhard, Xuehua Jiang, Li Li, Jian Yang, Zhongwei Gu
- 期刊:International Journal of Nanomedicine
-
Original Research

- 作者:Wenxian Tong, Liu Yang, Qiang Yu, Jie Yao, Anbing He
- 期刊:OncoTargets and Therapy