-
Original Research

- 作者:江开达, 李凌江,王学义,房茂胜,施剑飞,曹秋云,何金彩,王吉囡,谭伟豪,胡翠丽
- 期刊:Neuropsychiatric Disease and Treatment
-
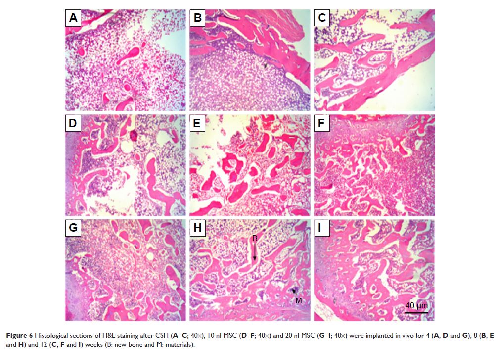
Original Research

- 作者:Liehu Cao, Weizong Weng, Xiao Chen, Jun Zhang, Qirong Zhou, Jin Cui, Yuechao Zhao, Jung-Woog Shin, Jiacan Su
- 期刊:International Journal of Nanomedicine
-
Original Research

- 作者:Yahua Wang, Xue Ying, Haolun Xu, Helu Yan, Xia Li, Hui Tang
- 期刊:International Journal of Nanomedicine
-
Original Research

- 作者:Yongchao Chu, Ning Chen, Huajun Yu, Hongjie Mu, Bin He, Hongchen Hua, Aiping Wang, Kaoxiang Sun
- 期刊:International Journal of Nanomedicine
-
Original Research

- 作者:SuYi Yi, LongJia Zeng, Yan Kuang, ZhiJuan Cao, ChengJun Zheng, Yue Zhang, Meng Liao, Lu Yang
- 期刊:OncoTargets and Therapy
-
Original Research

- 作者:Tao Chen, Hui Wang, Peng Yang, Zhen-Yu He
- 期刊:OncoTargets and Therapy