-
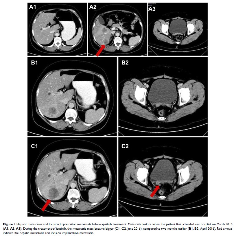
Case Report

- 作者:Di Zhang, Jiaqi Huang, Yulan Sun, Qisen Guo
- 期刊:OncoTargets and Therapy
-
Case Report

- 作者:刘辉,董方,刘金荣,刘建华,逄宇,赵顺英,鲁洁,李惠民
- 期刊:Infection and Drug Resistance
-
Origianl Research

- 作者:Yuchao Lu, Chenxi Hou, Jingli Ren, Kui Yang, Yincheng Chang, Yuxin Pei, Hai Dong, Zhichao Pei
- 期刊:International Journal of Nanomedicine
-
Origianl Research

- 作者:Rui Gao, Xiaowen Wu, Zhi Huang, Bi Wang, Fenghu Li, Hui Xu, Li Ran
- 期刊:OncoTargets and Therapy
-
Origianl Research

- 作者:Shi-Shuo Wang, Gang Chen, Sheng-Hua Li, Jin-Shu Pang, Kai-Teng Cai, Hai-Biao Yan, Zhi-Guang Huang, Rong-Quan He
- 期刊:OncoTargets and Therapy
-
Origianl Research

- 作者:Ye-Hui Chen, Ting-Ting Lin, Yu-Peng Wu, Xiao-Dong Li, Shao-Hao Chen, Xue-Yi Xue, Yong Wei, Qing-Shui Zheng, Jin-Bei Huang, Ning Xu
- 期刊:OncoTargets and Therapy