-
Review

- 作者:Kelvin Li, Xia-Fang Wang, Ding-You Li, Yuan-Cheng Chen, Lan-Juan Zhao, Xiao-Gang Liu, Yan-Fang Guo, Jie Shen, Xu Lin, Jeffrey Deng, Rou Zhou, Hong-Wen Deng
- 期刊:Clinical Interventions in Aging
-
Original Research

- 作者:Ying Zhou, Peng-Cheng Lin, Jun-Ru Ye, Shan-Shan Su, Li Dong, Qing Wu, Han-Yan Xu, Yu-Peng Xie, Yu-Ping Li
- 期刊:Infection and Drug Resistance
-
Original Research

- 作者:Qing Li, Rong Ma, Mei Zhang
- 期刊:OncoTargets and Therapy
-
Original Research

- 作者:Xiangpan Li, Xiaofei Wu
- 期刊:OncoTargets and Therapy
-
Original Research

- 作者:Maolin Wang, Qianyu Yang, Jimin Long, Yanghuai Ding, Xiaoqing Zou, Guochao Liao, Yi Cao
- 期刊:International Journal of Nanomedicine
-
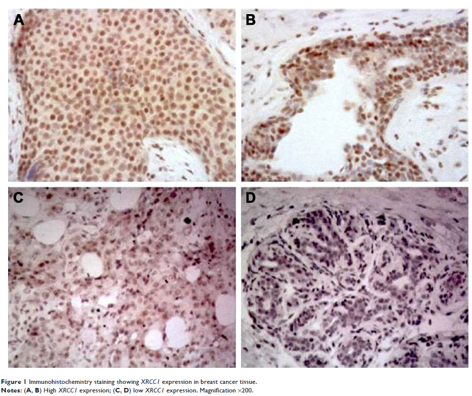
Original Research

- 作者:Yueyao Du, Tingting Yan, Liheng Zhou, Wenjin Yin, Jinsong Lu
- 期刊:Breast Cancer: Targets and Therapy