-
Original Research

- 作者:王世杰,黄惟巍,黎奎,姚宇峰,白红妹,孙文佳,刘存宝,马雁冰
- 期刊:International Journal of Nanomedicine
-
Original Research

- 作者:Danting Cui, Xiaodan Lu, Chenggong Yan, Xiang Liu, Meirong Hou, Qi Xia, Yikai Xu, Ruiyuan Liu
- 期刊:International Journal of Nanomedicine
-
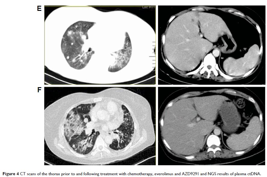
Case Report

- 作者:Li Xu, Qian Z Wang, Lin Wu
- 期刊:OncoTargets and Therapy
-
Original Research

- 作者:廖锡文,黄科团,黄睿,刘晓光,韩创业,于龙,余廷东,杨成昆,王向坤,彭涛
- 期刊:OncoTargets and Therapy
-
Original Research

- 作者:Su Yu, Yang Zhang, Yunjian Pan, Chao Cheng, Yihua Sun, Haiquan Chen
- 期刊:OncoTargets and Therapy
-
Case Report

- 作者:Jianbo Hu, Jianbo Lai, Shaohua Hu, Yi Xu
- 期刊:Neuropsychiatric Disease and Treatment