-
Original Research

- 作者:Ming Chen, Ying Jin, Yalan Bi, Jie Yin, Yongxue Wang, Lingya Pan
- 期刊:OncoTargets and Therapy
-
Original Research

- 作者:Ying Qian, Yanning Liu, Qiuyue Yan, Juan Lv, Xiaoyan Ni, Yunlu Wu, Xuejun Dong
- 期刊:OncoTargets and Therapy
-
Review

- 作者:Guang-xia Chen, Shu Zhang, Xiao-hua He, Shi-yu Liu, Chao Ma, Xiao-Ping Zou
- 期刊:OncoTargets and Therapy
-
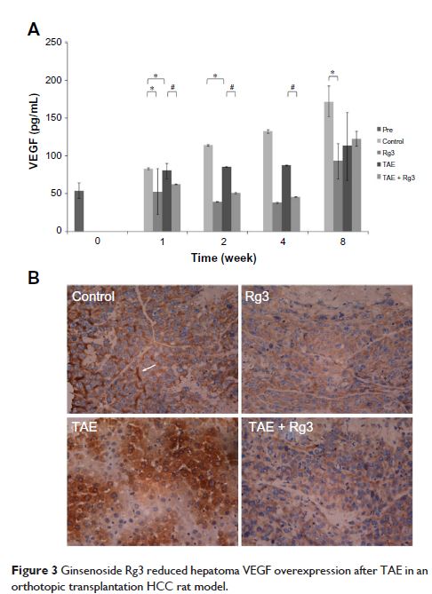
Original Research

- 作者:Bo Zhou, Jianhua Wang, Zhiping Yan
- 期刊:OncoTargets and Therapy
-
Original Research

- 作者:Yuanfang Lu, Jingyan Gao, Yuanming Lu
- 期刊:OncoTargets and Therapy
-
Original Research

- 作者:Yun Wang, Fu-xing Lin, Yu Zhao, Mo-zhen Wang, Xue-wu Ge, Zheng-xing Gong, Dan-dan Bao, Yu-fang Gu
- 期刊:International Journal of Nanomedicine