论文已发表
注册即可获取德孚的最新动态
IF 收录期刊
Original Research
内吞相关蛋白 SCAMP3 在肝细胞癌中的综合评价

Original Research
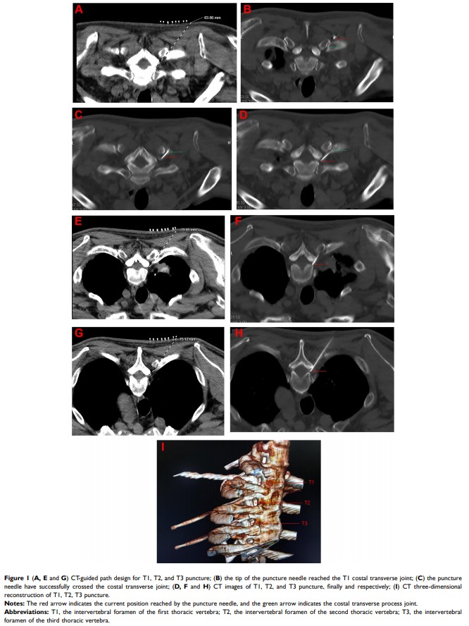
对于接受脉冲射频治疗的 T1-T3 带状疱疹神经痛,肋横突穿刺术的应用及治疗效果

Original Research
椎体成形术和后凸成形术的过度伸展和中立位比较:哪种最适合骨质疏松性椎体压缩性骨折?

Original Research
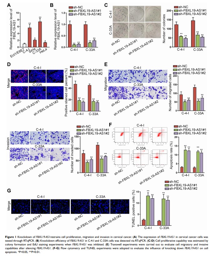
长非编码 RNA FBXL19-AS1 通过 miR-193a-5p/PIN1 信号传导加快宫颈癌中的细胞生长、迁移和侵袭

Original Research
血清外泌体 lncRNAs 作为食管鳞状细胞癌诊断和预后生物标志物的评估

Original Research
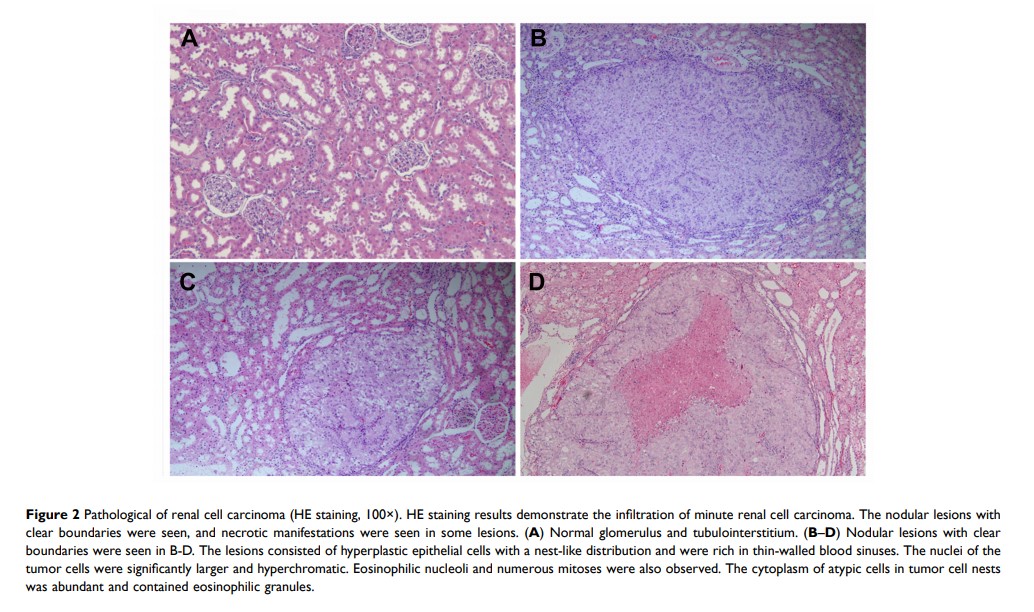
钙稳态的调节可能与糖尿病肾病大鼠的肾细胞癌易感性有关
