论文已发表
注册即可获取德孚的最新动态
IF 收录期刊
Original Research 简明总结
血浆中同型半胱氨酸浓度和传统心血管危险因素对新发周围性动脉疾病风险的联合影响

Original Research
补充花色苷对空腹高血糖患者血清中的 IGFBP-4 片段和血糖控制的影响:一项随机对照试验

Original Research
芒柄花素通过抑制 smad3 表达对 Db/Db 小鼠肾脏的保护作用

Case Series
原发性骨髓纤维化患者接受鲁索替尼治疗期间的结核病:病例系列和文献综述

Case Report
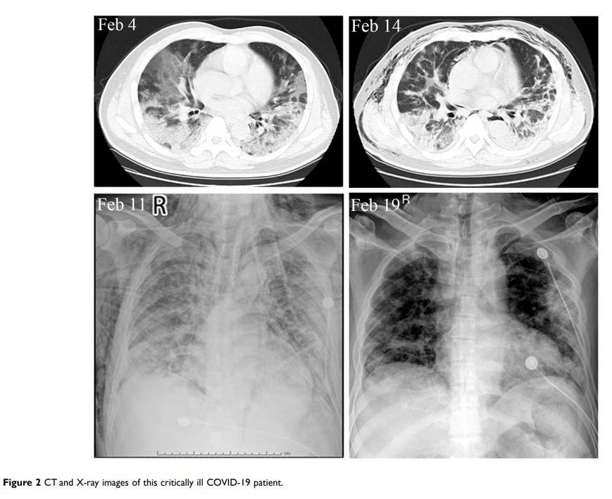
人脐带间充质干细胞用于 COVID-19 危重患者的辅助治疗:1 份病例报告

Original Research
较高的血管细胞粘附分子 1 与慢性阻塞性肺疾病中不断增加的心血管事件发生风险有关
