论文已发表
注册即可获取德孚的最新动态
IF 收录期刊
Original Research
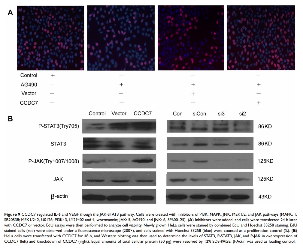
本文章已被撤回:CCDC7 激活白细胞介素 6 和血管内皮生长因子,通过 JAK-STAT3 信号通路促进宫颈癌细胞的增殖

Original Research
miR-335-5p 通过靶向 CCNB2 来调节肺腺癌的细胞周期和转移

Original Research
Hsa_circ_0001806 作为 ceRNA,通过提高 COL1A1 促进大肠癌细胞的干性

Original Research
circNRIP1 的下调通过 miR-182/ROCK1 轴促进胃癌细胞凋亡并抑制其迁移和侵袭

Original Research
LncRNA SLC7A11-AS1 通过抑制 miR-4775 促进 TRAIP 表达,从而促进肺癌进展

Original Research
circPDSS1 通过激活 Wnt/β-连环蛋白信号传导刺激大肠癌的发展
