论文已发表
注册即可获取德孚的最新动态
IF 收录期刊
Original Research
MiR-486-5p 作为子宫内膜癌的生物标志物:通过靶向 MARK1 促进细胞增殖、迁移、侵袭

Original Research
中国一家三级医院碳青霉烯类耐药的阴沟肠杆菌的分子特征

Original Research
hsa_circRNA_102958 的上调显示预后不良,并通过 miR-1205/SH2D3A 轴促进卵巢癌进展

Original Research
非小细胞肺癌患者手术切除样本中九种驱动基因突变的评估

Original Research
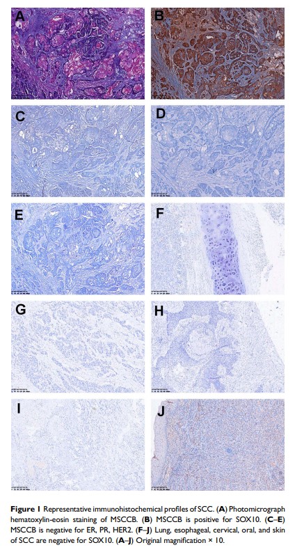
SOX10 –乳腺癌转移性鳞状细胞癌鉴别诊断的新型标志物

Original Research
破裂前镜像动脉瘤的血流动力学和形态分析
