论文已发表
注册即可获取德孚的最新动态
IF 收录期刊
Original Research
T1-2 期非小细胞肺癌患者的手术依从性和生存结果

Original Research
本文章已被撤回:敲除 circRAD18 可以通过调节 miR-613/HK2 轴减轻乳腺癌的进展

Original Research
峡部的甲状腺乳头状癌具有独特的中央区淋巴结转移模式

Case Report
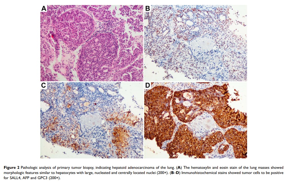
无法切除的 KRAS -阳性肺肝样腺癌的多线化疗后,通过抗 PD-1 治疗实现的疾病控制:病例报告和文献回顾

Review
鸢尾素在肿瘤中作用的研究述评

Review
circRNA 在膀胱癌中的生物合成、功能和作用
