论文已发表
注册即可获取德孚的最新动态
IF 收录期刊
Original Research
上颈段的预防性电针治疗减少偏头痛大鼠三叉神经颈复合体的神经元放电:活体内单细胞外电生理实验

Original Research
罗哌卡因浓度对超声引导下前锯肌平面阻滞镇痛效果的影响:一项随机双盲试验

Original Research
在线购物中的低阶网页布局促进购买决策:来自事件相关电位的证据

Original Research
视觉工作记忆的训练效果可以在不同刺激间迁移

Original Research
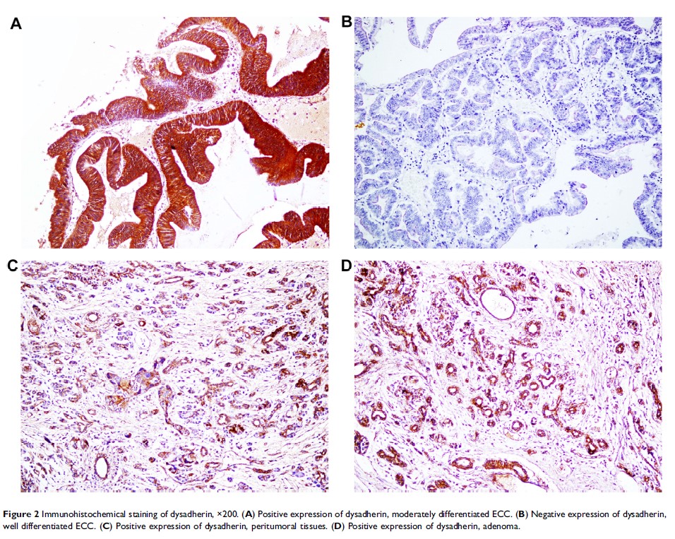
EphB3 和 dysadherin 表达在肝外胆管癌中的预后和临床病理意义

Case Report
免疫适应性正常患者因拟香味类香菌而导致的导管相关性血流感染确诊病例(CRBSI):病例报告和文献回顾
