论文已发表
注册即可获取德孚的最新动态
IF 收录期刊
Original Research
研究 SLCO2B1 对中国儿童使用孟鲁司特的药代动力学作用的发展性药物基因组学

Original Research
红景天苷抑制 TRPM2 离子通道活化减轻 NAFLD 肝细胞炎性损伤的机制研究

Original Research
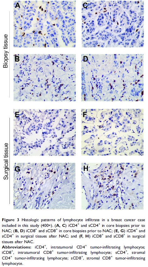
基质浸润淋巴细胞增多与循环肿瘤细胞及乳腺癌患者新辅助化疗后的转移性复发相关

Original Research
长非编码 RNA LINC00511 通过 miR-424-5p 和 miR-370-5p 来介导 ESR1 对卵巢癌增殖和侵袭的作用

Original Research
新诊断的乳腺癌患者的 C 型人格和抑郁:心理一致感的介导作用

Original Research
新型 S-炔丙基半胱氨酸脂质体:持续释放硫化氢并通过 TGF-β1/Smad 信号通路来减少心肌纤维化
