-
Methodology

- 作者:Fu-Tao Meng, Mei Huang, Fang-Fang Fan, Feng Shao, Chao Wang, Qiang Huang
- 期刊:Cancer Management and Research
-
Review

- 作者:Jun Pan, Chenghui Yang, Zhou Jiang, Jian Huang
- 期刊:Cancer Management and Research
-
Original Research

- 作者:Mengmeng Dong, Jiawen Chen, Jiayuan Zhang, Xiao Liang, Jiebing Yang, Dan Li, Quanshun Li
- 期刊:International Journal of Nanomedicine
-
Original Research

- 作者:Fei Xie, Lixin Xie
- 期刊:International Journal of Chronic Obstructive Pulmonary Disease
-
Original Research

- 作者:Dandan Gao, Zhimin Guo, Jiabin Wang, Gaofeng Hu, Yuqiao Su, Lijun Chen, Qianwen Lv, Huimei Yu, Jianchun Qin, Wei Xu
- 期刊:OncoTargets and Therapy
-
Original Research

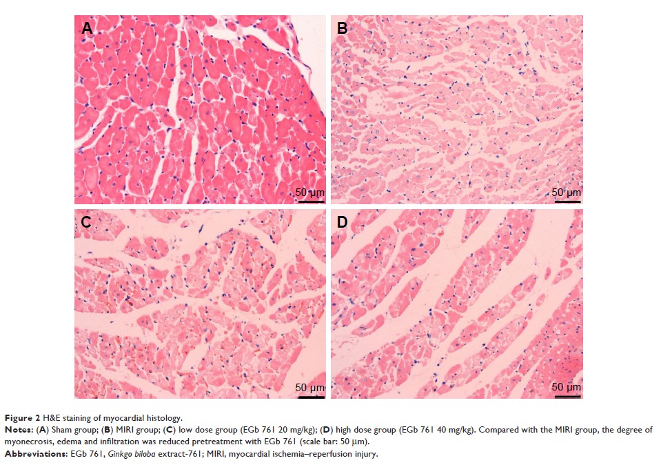
- 作者:Xiao-jie Chen, Shu-min Ren, Jian-zeng Dong, Chun-guang Qiu, Ying-wei Chen, Hai-long Tao
- 期刊:Drug Design, Development and Therapy