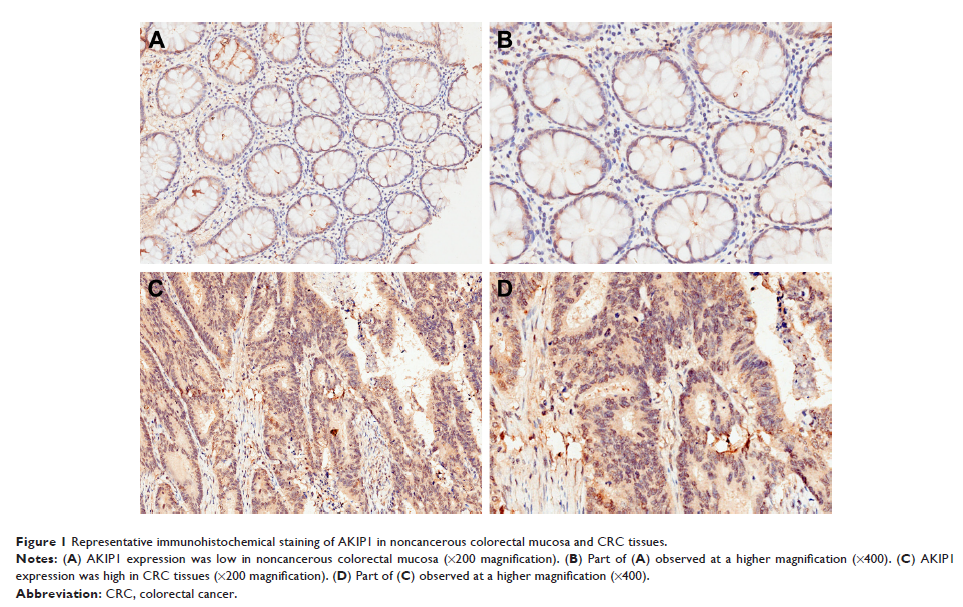
论文已发表
注册即可获取德孚的最新动态
IF 收录期刊
Original Research

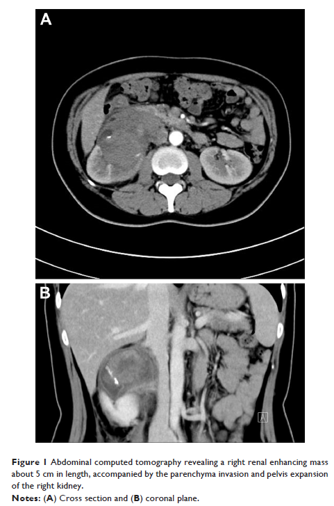
Case Report

Original Research

Original Research 值得关注

Original Research 值得关注
Development of a method to maximize the transcutaneous electrical nerve stimulation intensity in women with fibromyalgia

Original Research
对聚乙二醇化纳米-杆菌肽 A 抵抗肺炎链球菌抗菌机制的见解: 包括对青霉素敏感和具有青霉素抗性两种菌株
