论文已发表
注册即可获取德孚的最新动态
IF 收录期刊
EDTA 在药物传递系统中的应用:采用 NH4EDTA 梯度法制备阿霉素脂质体
德孚医药出版社于 International Journal of Nanomedicine 期刊中刊登了这篇值得关注的原研: The application of EDTA in drug
delivery systems: doxorubicin liposomes loaded via NH4EDTA gradient。
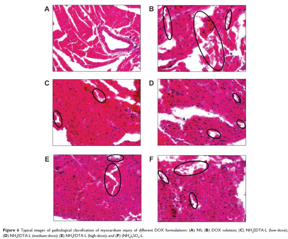
近年来,EDTA 的应用已经从对重金属中毒的治疗拓展到对动脉硬化、心脏病及癌症等疾病的治疗方面。通过螯合金属离子,EDTA 可有效减少上述疾病的发病率和死亡率。本研究将 EDTA 应用于药物传递系统,即采用 NH4EDTA 梯度法制备阿霉素脂质体,以期达到增加药物疗效,降低药物毒副作用的效果。所制备的 NH4EDTA 梯度脂质体载药后的粒径为 79.4±1.87 nm,包封率为 95.54%±0.59%。体外研究结果显示,NH4EDTA 梯度载药脂质体具有较好的缓释作用和长期稳定性。与相同药物含量的 (NH4)2SO4 梯度载药脂质体相比,NH4EDTA 梯度载药脂质体虽未提高药物的抗肿瘤作用,但显著降低了药物引起的心脏毒性及免疫损伤,且在整个实验期间内无小鼠死亡现象发生。该结果表明 NH4EDTA 梯度脂质体在不影响药物抗肿瘤作用的同时,能够显著降低药物毒性。
详细内容请看:Doxorubicin liposomes loaded via NH4EDTA gradient
