论文已发表
注册即可获取德孚的最新动态
IF 收录期刊
Case Report
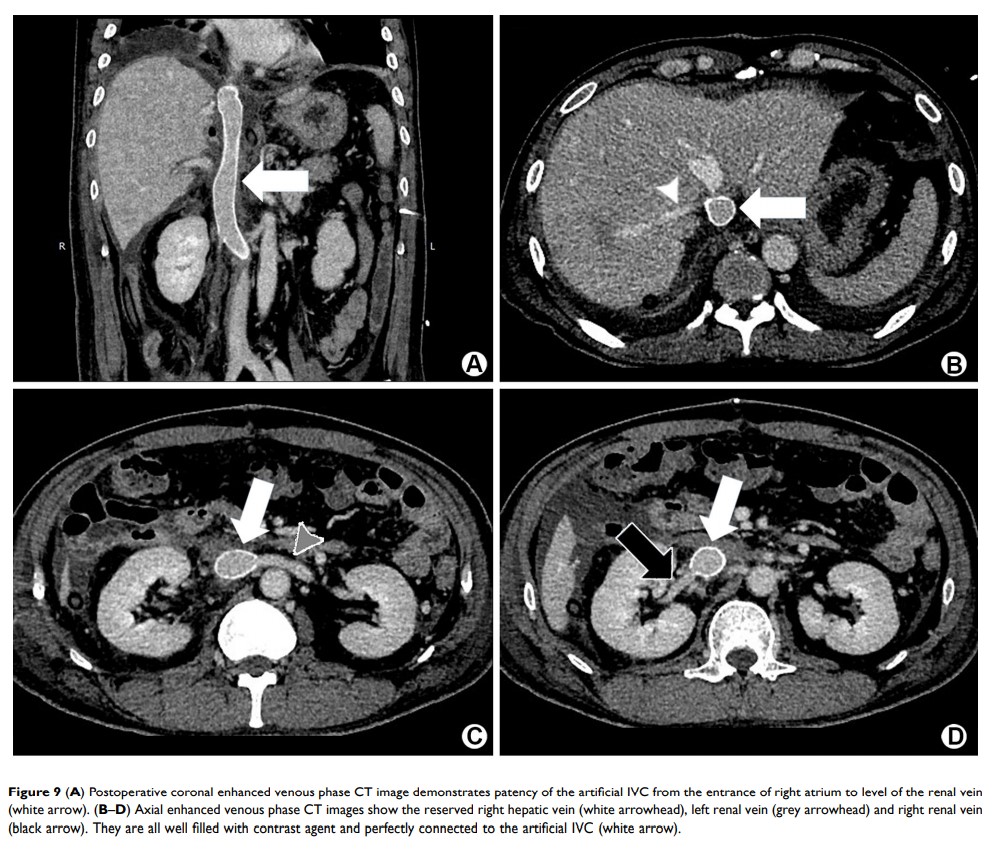
一个巨大下腔静脉平滑肌肉瘤病例:通过 Gadobutrol 增强 MRI 进行精准的术前评估

Original Research
LncRNA SNHG9 在非小细胞肺癌中下调,并通过甲基化抑制 miR-21 以促进细胞增殖

Original Research
血清 CXCL13 水平与阴茎癌的肿瘤进展和不良预后相关

Original Research
指导聚合物胶束的适当辐照时间,以最大程度提高化学-光动力治疗的效果

Original Research
新型农村合作医疗制度对中国老年人住院服务利用社会经济不平等的影响

Original Research
LncRNA DCST1-AS1 使 miR-107 海绵化,从而上调宫颈鳞状细胞癌中的 CDK6
