论文已发表
注册即可获取德孚的最新动态
IF 收录期刊
Commentary
COVID-19 爆发期间乳腺癌患者的手术管理策略

Original Research
通过提取直方图度量指标,利用体素内不相干运动成像评估肝细胞癌的多种预后因素

Original Research 视频
中国非小细胞肺癌患者化疗用药变化及其影响因素:一项十年(2005-2014)多中心回顾性研究

Original Research
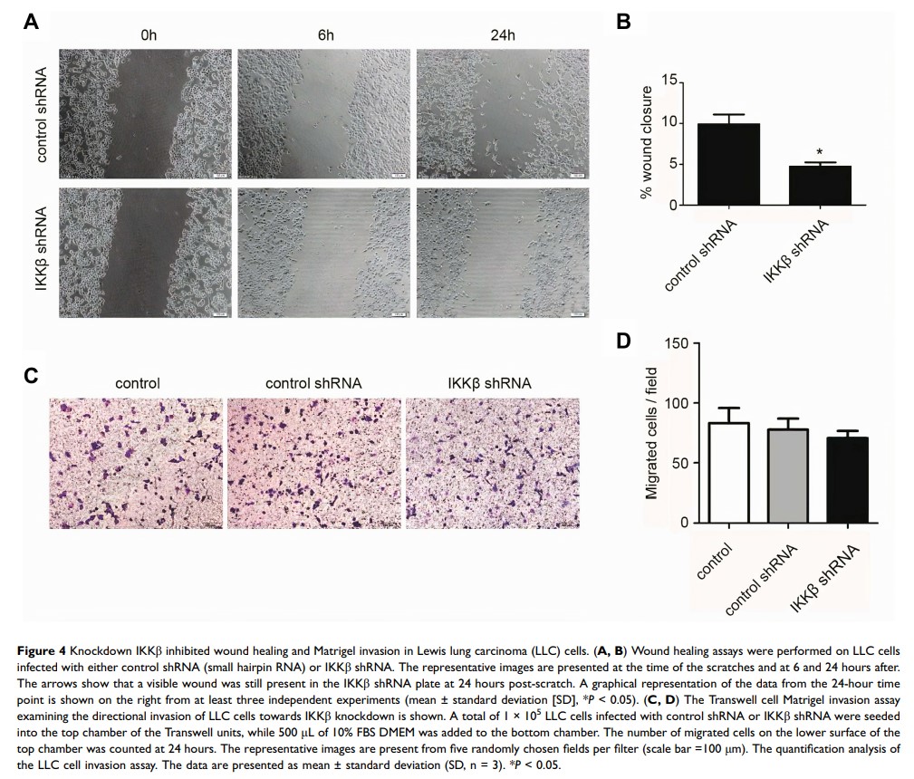
敲低 IKKβ 抑制柔脑膜转移小鼠模型的肿瘤发展和肺癌细胞的增殖

Original Research
lncRNA NLIPMT 的过表达通过下调 TGF-β1 抑制结直肠癌细胞的迁移和侵袭

Original Research
血小板计数升高可预测乳腺癌锁骨上淋巴结转移患者的不良预后
