论文已发表
注册即可获取德孚的最新动态
IF 收录期刊
Original Research
氧化苦参碱通过抑制 αⅤβ3 整合素/FAK/PI3K/Akt 信号激活来逆转乳腺癌细胞的上皮 - 间质转化

Review
PIM-1激酶:三阴性乳腺癌的潜在生物标志物

Case Report
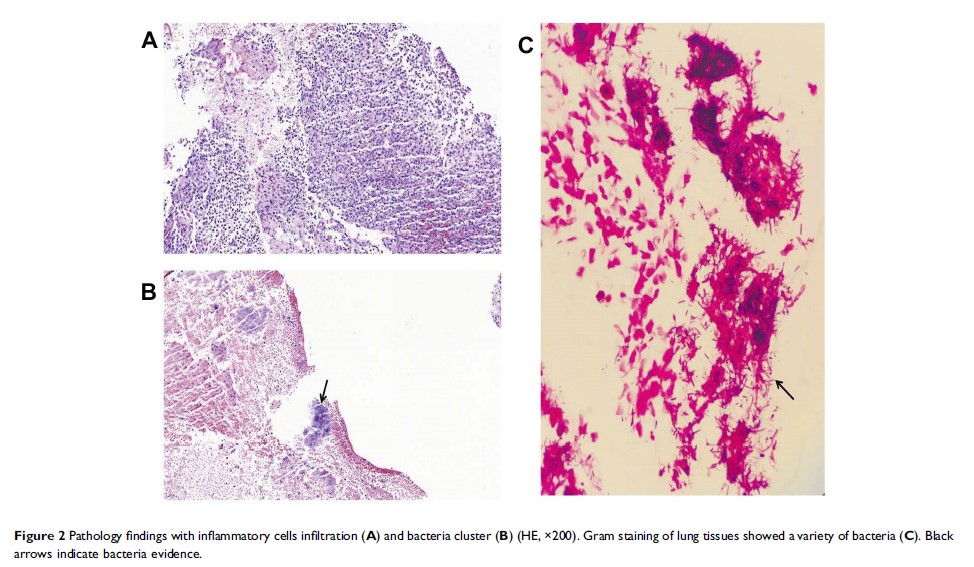
社区获得性肺脓肿可归因于牙源性菌群

Original Research
超声引导经茎突舌咽神经阻滞治疗舌咽神经痛的回顾性研究

Clinical Trial Report
低剂量 D2/D3 部分受体激动剂普拉克索对精神安定剂诱发的锥体外系疾病症状和精神分裂症症状的疗效:第一阶段开放标签试验研究

Case Report
全外显子组测序可检测肺动脉肉瘤模拟肺栓塞:病例报告和回顾
