论文已发表
注册即可获取德孚的最新动态
IF 收录期刊
Original Research
巨噬细胞相关的 lncRNA ELMO1-AS1:肝细胞癌的新型治疗靶点和预后生物标志物

Original Research
miRNA-15a 通过调节 AKT 通路来调节甲状腺乳头状癌的增殖和凋亡

Original Research
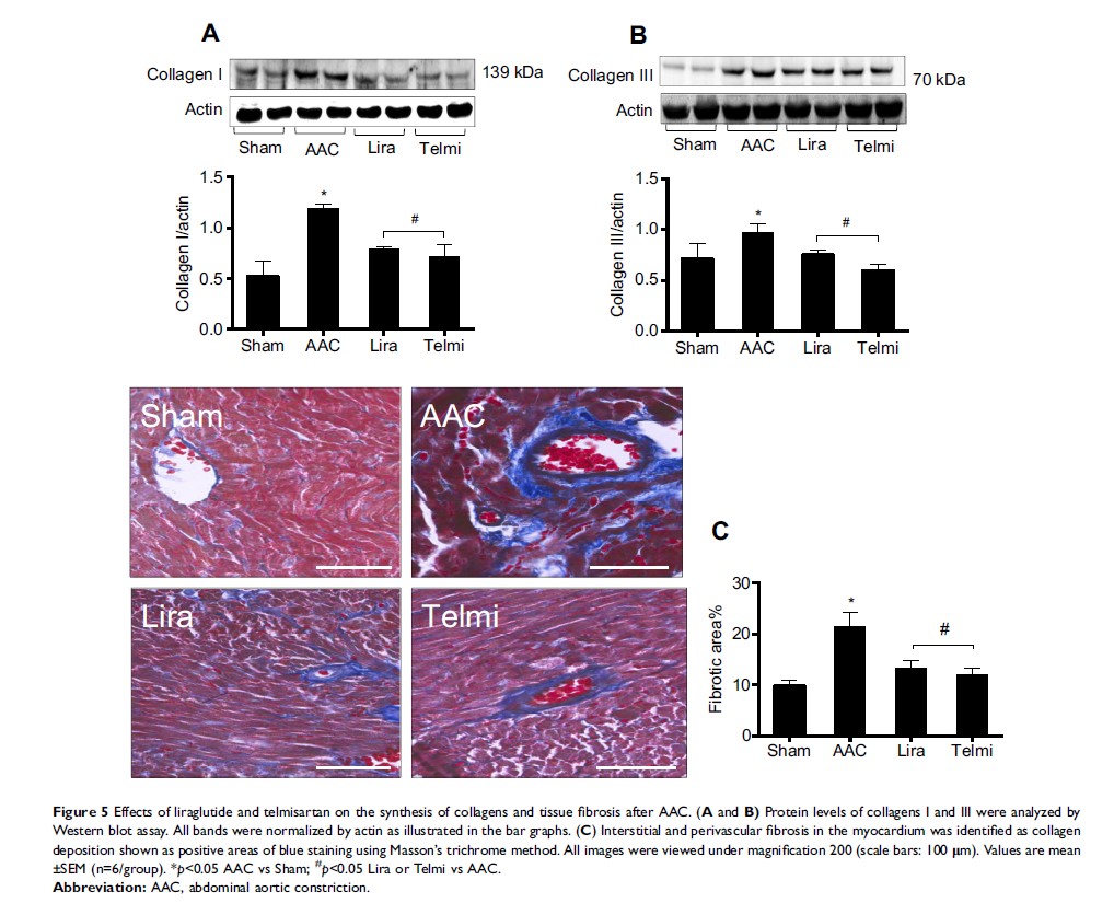
利拉鲁肽通过阻断大鼠血管紧张素 II 1 型受体减轻心脏重塑并改善腹主动脉缩窄后的心脏功能

Original Research
免疫应答相关基因模块与头颈部鳞状细胞癌临床特征的相关性

Original Research
通过流式细胞术所检测到的壶腹周围或胰腺癌中的门静脉循环肿瘤细胞进行术后转移预测

Original Research
胰腺神经内分泌肿瘤伴远处转移的老年患者进行胰腺原发灶手术:做还是不做?
