-
Original Research

- 作者:Dinglai Yu, Tingting Ye, Yukai Xiang, Zhehao Shi, Jie Zhang, Bin Lou, Fan Zhang, Bicheng Chen, Mengtao Zhou
- 期刊:OncoTargets and Therapy
-
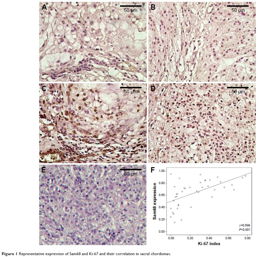
Original Research

- 作者:Yongzhen Cui, Cheng Li, Zhongfa Xu, Yingming Wang, Yamei Sun, Huirong Xu, Zengjun Li, Yanlai Sun
- 期刊:Therapeutics and Clinical Risk Management
-
Original Research

- 作者:王潇,赵斌江,苏跃
- 期刊:Clinical Interventions in Aging
-
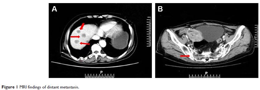
Case Report

- 作者:Yong Zhang, Yalong Qi, Axiang Wang, Baozhen Ma, Xiaomin Fu, Lingdi Zhao, Quanli Gao
- 期刊:OncoTargets and Therapy
-
Original Research

- 作者:文海,李鹏志,马泓,郑姣云,余一品,吕国华
- 期刊:OncoTargets and Therapy
-
Expert Opinion

- 作者:Juan Xiao, Lin Chen, Gengsheng Mao, Wenyong Gao, Ming Lu, Xijing He, Hongyun Huang
- 期刊:Journal of Neurorestoratology