论文已发表
注册即可获取德孚的最新动态
IF 收录期刊
Original Research
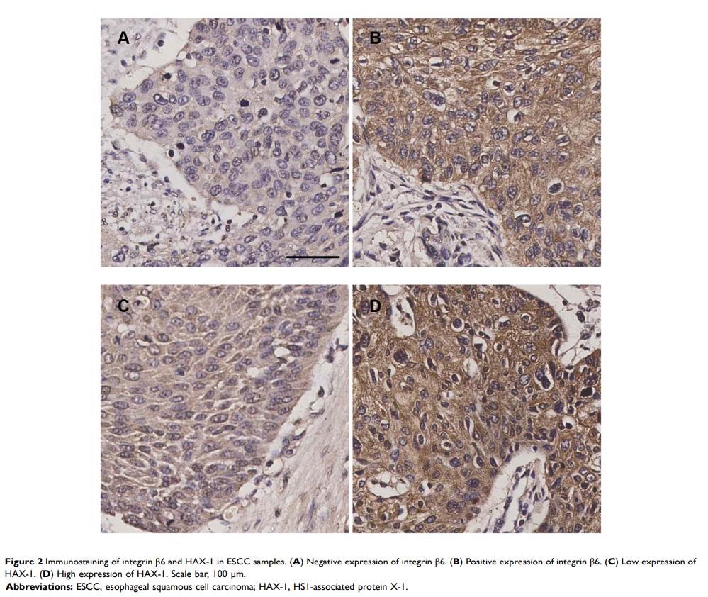
整合素 β6 和 HAX-1 的表达与食管鳞状细胞癌的侵袭性和不良预后的相关性分析研究

Original Research
Hsa_circ_0084927 通过调节 miR-634/TPD52 轴来调节宫颈癌的进展

Original Research
TCEAL2 作为肾细胞癌的抑癌基因与患者良好的预后有关

Original Research
CircCSNK1G1 通过竞争性靶向 miR-455-3p 来增加 MYO6 的表达,从而促进结直肠癌的进展

Original Research
CircNFIX 充当 miR-212-3p 海绵,通过上调 ADAM10 来增强非小细胞肺癌的恶性进展

Original Research
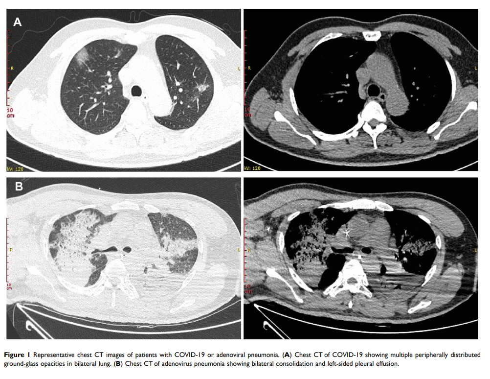
比较 COVID-19 和腺病毒性肺炎的临床、实验室和放射学特征:回顾性研究
