论文已发表
注册即可获取德孚的最新动态
IF 收录期刊
Original Research
评估 p16INK4a 免疫细胞化学在宫颈癌筛查中的表现

Original Research
circPRKCA 敲低可通过调节 miR-330-5p/PDK1/AKT 信号通路在体内和体外抑制 NSCLC 细胞的生长、迁移和侵袭

Original Research
CREB1 抑制 microRNA-186 的转录,以通过 KRT8/HIF-1α 轴促进胃癌细胞的生长、侵袭和上皮-间充质转化

Original Research
miR-210 是一种血清生物学标志物,可预测接受射频消融治疗的结肠癌肝转移患者的复发和预后

Original Research
术前中性粒细胞/淋巴细胞比值和白蛋白在行根治性肾输尿管切除术的上尿路尿路上皮癌患者预后风险分级中的应用

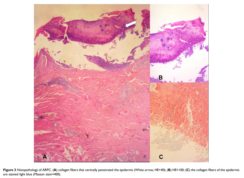
Case Report
强力霉素与 NB-UVB 光疗相结合治疗获得性反应性穿通性胶原病
