论文已发表
注册即可获取德孚的最新动态
IF 收录期刊
Original Research
Phoenixin 14 可抑制实验小鼠高脂饮食诱导的非酒精性脂肪肝疾病

Original Research
普伐他汀通过调节 miR-93/Nrf2/ARE 信号通路对心肌缺血再灌注损伤的保护作用

Original Research
对碳青霉烯耐药的肺炎克雷伯菌引起的血流感染在血液系统恶性肿瘤患者中的临床特征和危险因素

Original Research
瘦素基因的变体降低了中国人胃癌的风险:一项病例对照研究的证据

Case Report
一名老年 COVID-19 重症患者的带状疱疹和带状疱疹后遗神经痛:一份病例报告

Original Research
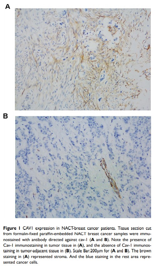
CAV1 的表达升高与接受手术和新辅助化疗的乳腺癌患者的不良预后有关
