论文已发表
注册即可获取德孚的最新动态
IF 收录期刊
Original Research
术前纤维蛋白原-白蛋白比率指数(FARI)是新辅助放化疗治疗后接受根治性手术的局部晚期直肠癌患者可靠的预后和放化疗敏感性预测因子

Original Research
miRNA,miR-125b 通过触发 STAT3 信号通路抑制胃癌细胞的侵袭和转移

Original Research
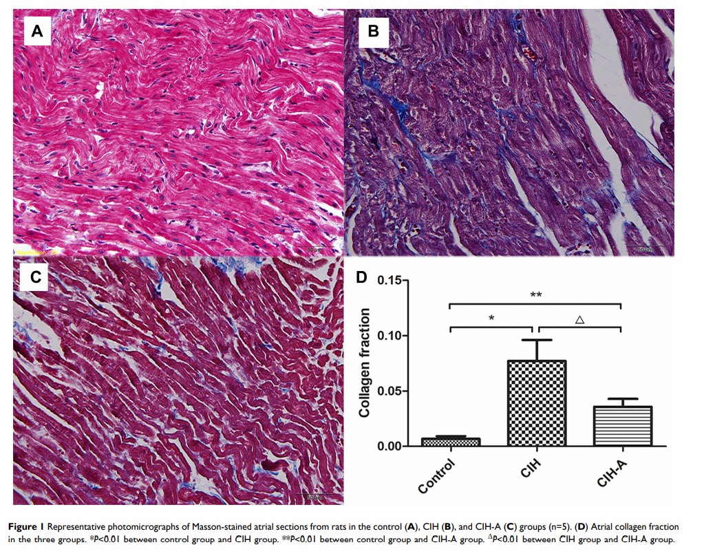
阿利吉仑对慢性间歇性缺氧大鼠心房重构的潜在作用

Original Research
间充质干细胞衍生的外泌体通过抑制细胞焦亡保护心肌免受缺血/再灌注损伤

Original Research
环状 RNA circNELL2 充当 miR-127-5p 的海绵,促进食道鳞状细胞癌进展

Original Research
STAT3 诱导的 lncRNA CASC9 上调通过与 EZH2 相互作用并影响 PTEN 的表达,从而促进膀胱癌的进展
