论文已发表
注册即可获取德孚的最新动态
IF 收录期刊
Original Research
中国老年人轻度认知障碍与健康相关的生活质量之间的关联

Original Research
基于超小生物聚合物纳米粒子的 MR/PA 双模态成像造影剂,用于原位肝细胞癌成像

Original Research
miR-7 通过靶向 MRP1 和 BCL2 逆转乳腺癌对化疗的耐药性

Original Research
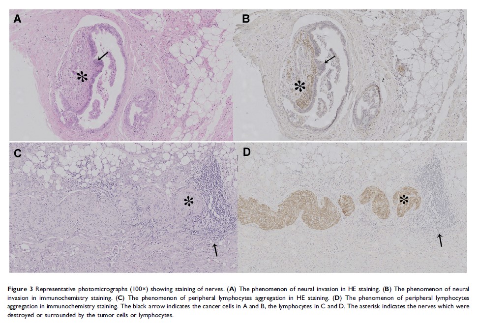
胰腺外神经病变与胰头癌的早期肝转移相关

Original Research
lncRNA NCK-AS1 敲除可通过调节骨肉瘤细胞中的 miR-137 来调控顺铂耐药性

Original Research
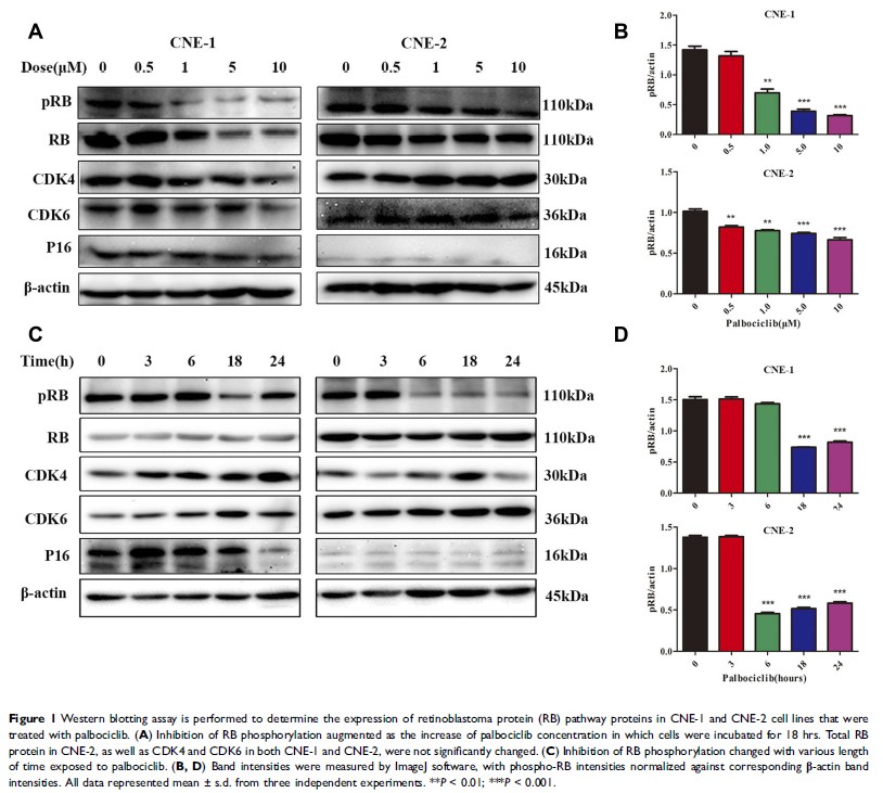
CDK4/6 抑制剂帕博西尼通过介导细胞凋亡及抑制 DNA 损伤修复来增强鼻咽癌细胞的放射敏感性
