论文已发表
注册即可获取德孚的最新动态
IF 收录期刊
Original Research
黄芩素作为一种抗氧化剂,通过调动细胞内铜和产生活性氧来触发 MCF-7 人乳腺癌细胞中的线粒体凋亡

Original Research
使用熊果酸治疗可通过调节 ARAP1/AT1R 信号通路减轻糖尿病肾损害

Original Research
lncRNA GAS5/miR-452-5p 降低高糖刺激下肾小管上皮细胞的氧化应激和热解

Original Research
宫颈癌细胞分泌的外泌体 microRNA-221-3p 通过下调 MAPK10 表达来促进宫颈癌微血管内皮细胞的侵袭、迁移和血管生成

Original Research
ATG3,miR-431-5p 的一个靶标,可通过促进自噬来增进结肠癌的增殖和侵袭

Original Research
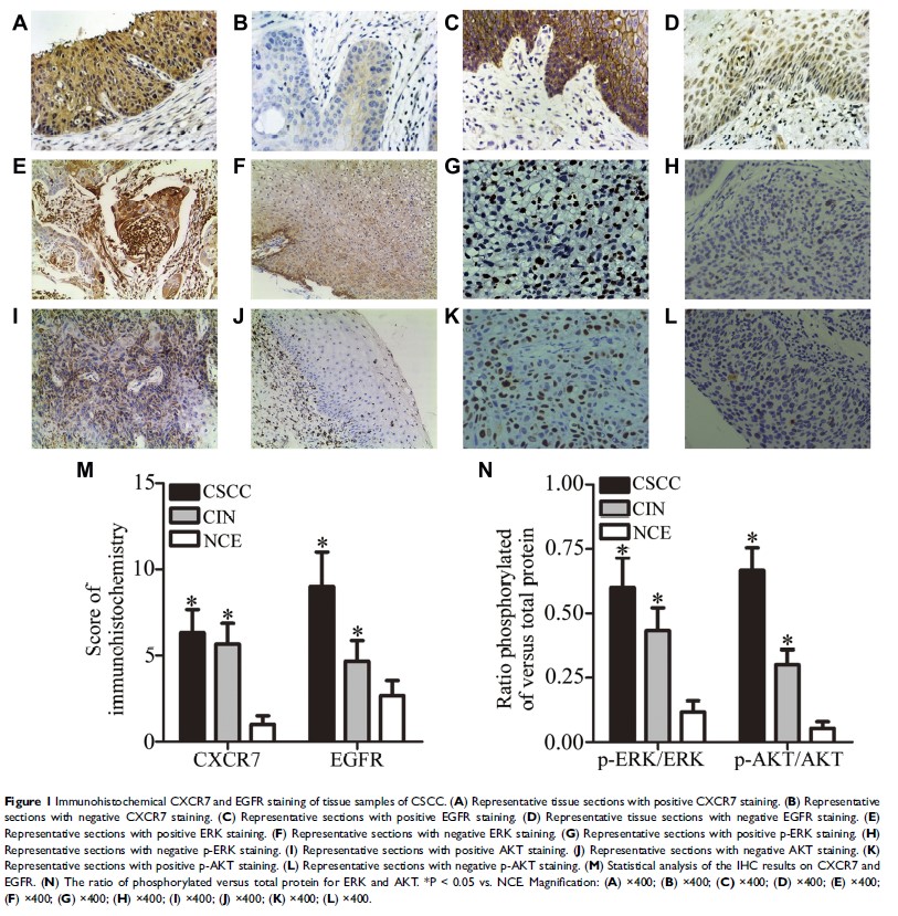
CXCR7,宫颈鳞状细胞癌的一个预后生物标志物,可能成为 IB1 和 IIA1 期患者治疗方案的筛选指标
