论文已发表
注册即可获取德孚的最新动态
IF 收录期刊
Original Research
未分化的多形性肉瘤:大型机构的长期随访

Case Report
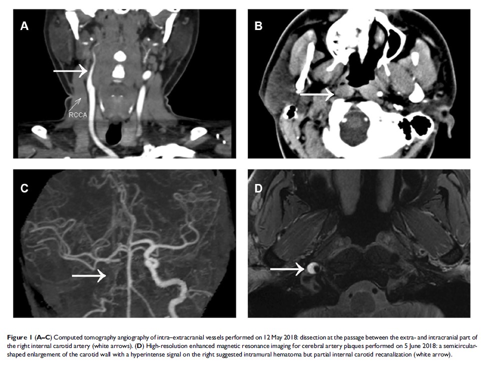
三叉神经自主性头痛作为 IV 型埃勒斯-当洛斯综合征的唯一初始症状

Original Research
甲状腺功能亢进中甲状腺功能正常化后可逆的情感症状和注意执行控制网络障碍

Original Research
以小分子 CXCR4 拮抗剂修饰的纳米气泡的制备,用于肿瘤靶向给药物和增强超声分子成像

Original Research
纳米氧化锆填料的表面处理可增强牙科用双酚 A–甲基丙烯酸缩水甘油酯基树脂复合材料

Original Research
通过 PLGA/TPGS 纳米粒子共同递送多西他赛和沙利霉素以靶向乳腺癌细胞和干细胞
