-
Review

- 作者:Huan Shi, Jun Guo, Changzheng Li, Zhehai Wang
- 期刊:Drug Design, Development and Therapy
-
Original Research

- 作者:Jianmin Liang, Juan Hu, Huimin Chang, Ying Gao, Huanan Luo, Zhenghui Wang, Guoxi Zheng, Fang Chen, Ting Wang, Yeye Yang, Xiaohui Kou, Min Xu
- 期刊:Therapeutics and Clinical Risk Management
-
Original Research

- 作者:Yongsheng Jia, Chunze Zhang, Liyan Zhou, Huijun Xu, Yehui Shi, Zhongsheng Tong
- 期刊:OncoTargets and Therapy
-
Original Research

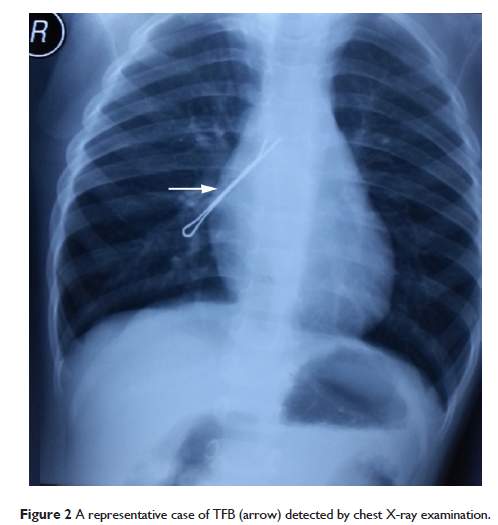
- 作者:Hai-Ling Hou, Mao-Bin Meng, Xiu-Li Chen, Lu-Jun Zhao, Li Zhu, Bai-Lin Zhang, Ping Wang
- 期刊:OncoTargets and Therapy
-
Original Research

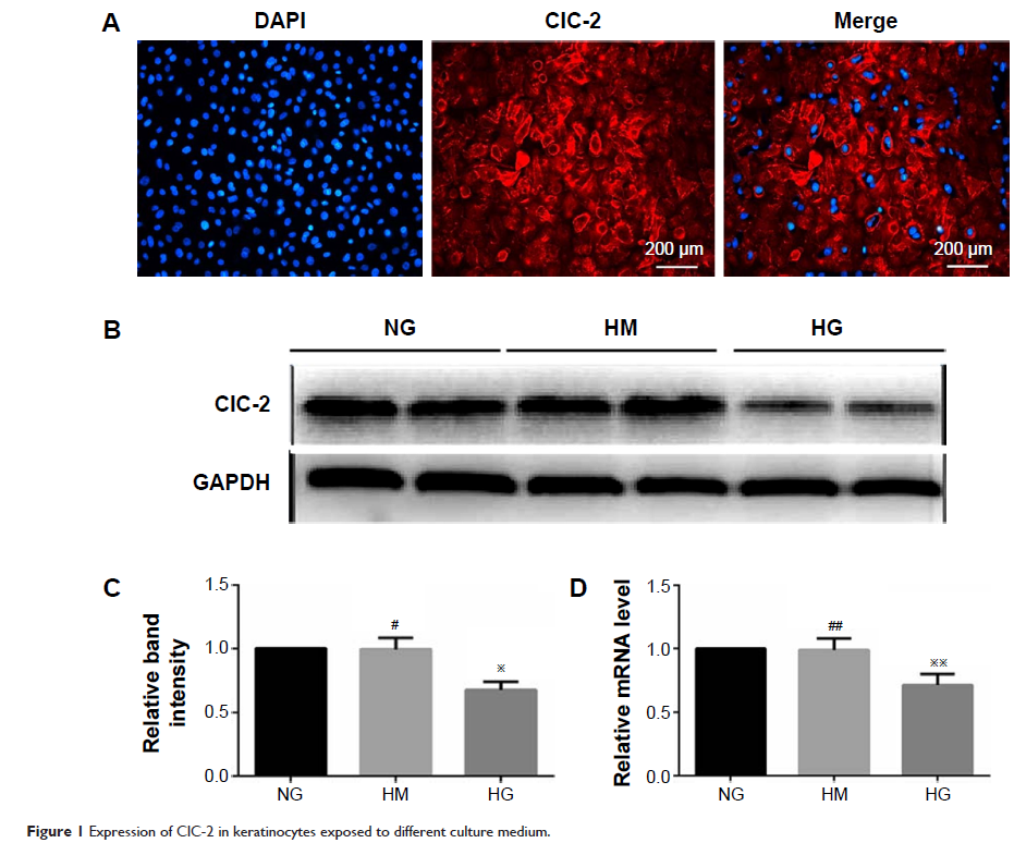
- 作者:Qing Ma, Li-Yan Gu, Yao-Yao Ren, Li-Li Zeng, Ting Gong, Dian-Sheng Zhong
- 期刊:OncoTargets and Therapy
-
Original Research

- 作者:Fuqiang Pan, Rui Guo, Wenguang Cheng, Linlin Chai, Wenping Wang, Chuan Cao, Shirong Li
- 期刊:Drug Design, Development and Therapy