论文已发表
注册即可获取德孚的最新动态
IF 收录期刊
Original Research
导热干针疗法对大鼠 TRPV1 通道的影响

Original Research
异牡荆素通过破坏 DNMT1/miR-34a/Bcl-2 轴来抑制癌变特性并诱导骨肉瘤细胞凋亡

Review
PD-1/PD-L1 轴在 Treg 发育和功能中的作用:对癌症免疫治疗的意义

Original Research
正如共表达分析所确定的,miR-92b-3p 是食管鳞状细胞癌的关键基因

Original Research
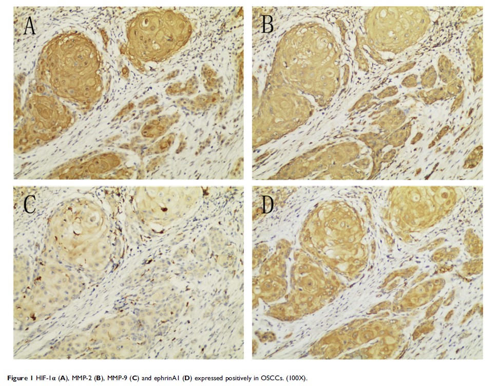
低氧诱导的可溶性 ephrinA1 从癌细胞分裂源自 MMP-2 介导,并与口腔鳞状细胞癌的血管生成相关

Original Research
蛋白酪氨酸磷酸酶 C 型受体的上调与桥本甲状腺炎合并甲状腺乳头状癌癌有关,并预示不良预后
