论文已发表
注册即可获取德孚的最新动态
IF 收录期刊
Case Report
低级别胎儿型腺癌和携带不同遗传突变的肺原位腺癌共存:病例报告和文献回顾

Case Series
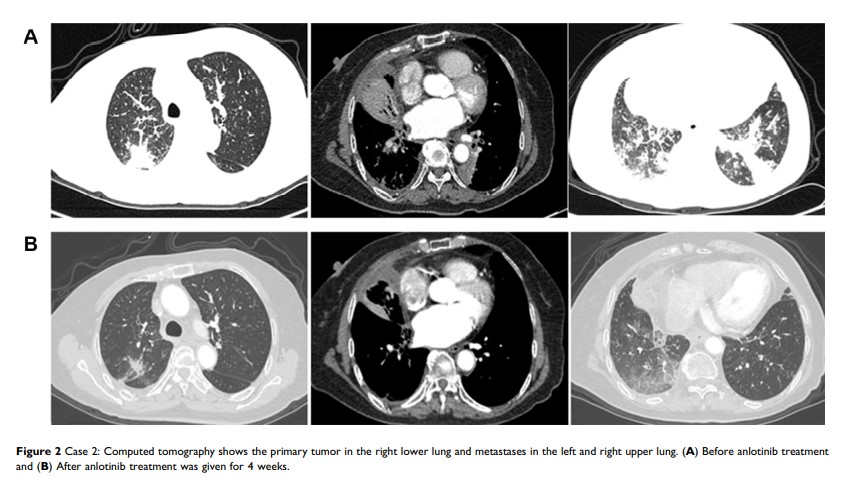
晚期非小细胞肺癌对安罗替尼的治疗反应与 TP53 突变之间的关联

Original Research
大肠癌 N2 表型中性粒细胞中的 miRNA 表达谱与假定的关键 miRNA 的筛选

Original Research
lncRNA TM4SF1-AS1 激活 PI3K/AKT 信号通路并促进肺癌细胞的迁移和侵袭

Original Research
I–III 期大肠癌术后外周 CD4 + T 细胞百分比的预测价值:针对 1028 名受试者的回顾性多中心队列研究

Original Research
麻醉技术对接受喉切除术的患者肺转移的影响
