论文已发表
注册即可获取德孚的最新动态
IF 收录期刊
Original Research
环状 RNA MYLK 通过海绵化 miR-195-5p 和提高葡萄糖转运蛋白家族成员 3 的表达来促进非小细胞肺癌细胞的糖酵解和增殖

Original Research
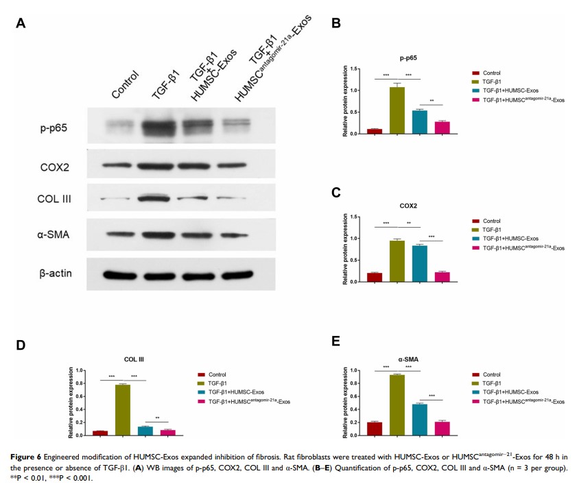
MicroRNA-21-3p 工程用脐带干细胞衍生的外泌体可抑制肌腱粘连

Original Research
外泌体 miR-638 通过靶向 SP1 抑制肝癌进展

Original Research
大鼠骨髓源间充质干细胞促进结直肠癌干细胞的迁移和侵袭

Original Research
LINC00665 通过吸附 miR-214-3p 并正向调节 PSMD10 和 ASF1B 的表达来促进多发性骨髓瘤的进展

Original Research
核糖体结合蛋白 1 与膀胱癌的预后和细胞增殖相关
