论文已发表
注册即可获取德孚的最新动态
IF 收录期刊
Case Report
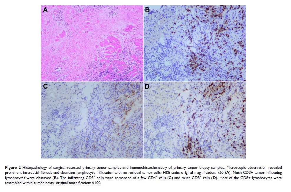
具有 PD-L1 阳性和微卫星不稳定性的不可手术切除的局部晚期胃癌,单剂量抗 PD-1 联合化疗作为一线治疗后的病理学完全缓解

Case Report
超声引导下星状神经节阻滞治疗中风后疼痛:病例报告和回顾

Review
左旋多巴/卡比多巴肠凝胶治疗晚期帕金森病患者的优势:系统评价

Review
胃肠道间质瘤的骨转移:已发表文献之综述

Original Research
健康保险和失能老人长期护理服务:基于中国 CHARLS 数据

Original Research
血清内皮抑素是 COPD 与肺功能降低、加重和全身炎症相关的新型标志物
