论文已发表
注册即可获取德孚的最新动态
IF 收录期刊
Case Report
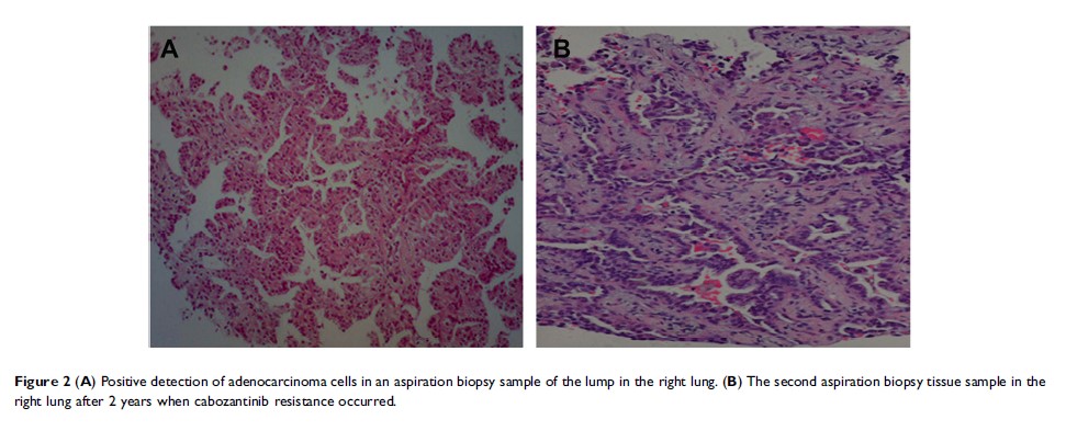
卡博替尼对 CD74-ROS1 融合晚期非小细胞肺癌患者的有效治疗:一份病例报告

Original Research
动脉粥样硬化性脑小血管疾病患者的长期失眠与高循环白细胞介素 8 相关

Original Research
热激同源蛋白 70 强化的整合素 β1 介导下的癌细胞侵袭

Original Research
基于炎症的预后评分用于预测结直肠癌根治性切除术后并发症风险的有效性

Original Research
本文章已被撤回:Cosmc 启动子的去甲基化可通过下调 Tn 和 Sialyl-Tn 抗原来缓解乳腺癌的进展

Original Research
IGFBP-3 是血根碱在肝细胞癌中促进细胞凋亡的关键靶标
