论文已发表
注册即可获取德孚的最新动态
IF 收录期刊
Original Research 简明总结
Impact of Comorbidities and Commonly Used Drugs on Mortality in COPD – Real-World Data from a Primary Care Setting

Original Research
CODEXS:包括抑郁评分在内的一种新的多维指数,可更好地预测常见的 COPD 加重

Original Research
SurvivinT34A 和 FilC 的异位表达可增强痘苗病毒在小鼠胃癌中的溶瘤作用

Original Research
二甲双胍通过调节 lncRNA TUG1 诱导自噬并抑制动脉粥样硬化来激活 AMPK-mTOR 信号通路

Original Research
CD44 的高表达预测胶质母细胞瘤的预后不良

Original Research
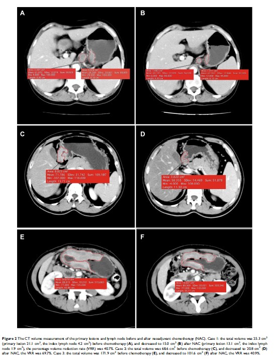
计算机断层扫描容量法与新辅助化学疗法治疗的晚期胃癌预后的相关性
