论文已发表
注册即可获取德孚的最新动态
IF 收录期刊
Original Research
以叙事医学为基础的健康教育与在线患者互助小组相结合对炎性肠病和关节炎患者健康的影响

Original Research
术前炎性指标及传统临床因素对肾透明细胞癌脊柱转移患者的预后意义:一个单中心的 95 例患者回顾性研究

Original Research
磷酸化蛋白质组学定量研究显示 4E-BP1Thr46 磷酸化与门静脉癌栓的不良预后相关,这表明 4E-BP1Thr46 磷酸化与肝细胞癌(HCC)不良预后相关

Original Research
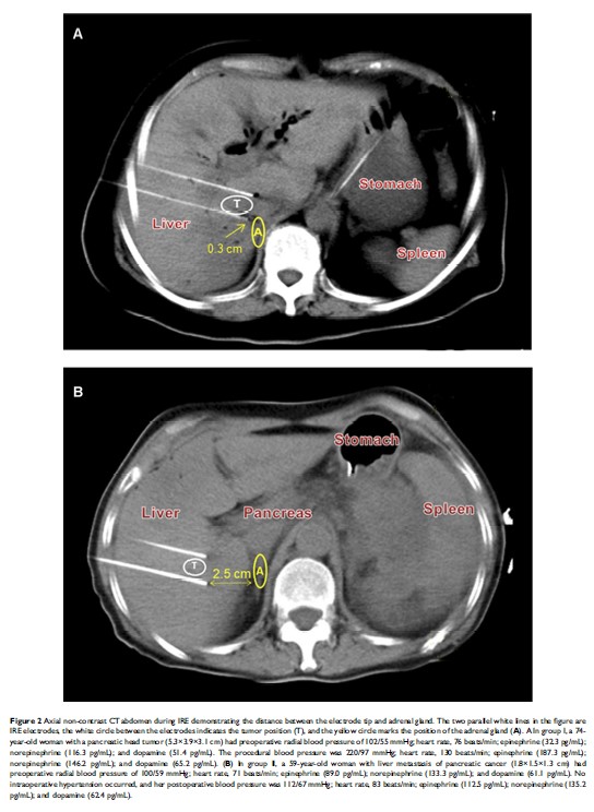
基于与肾上腺的距离,预防不可逆性电穿孔消融肝和胰腺肿瘤时的术中高血压

Original Research
厌食症、高血压、气胸和甲状腺功能低下:阿帕替尼治疗骨肉瘤晚期的临床疗效改善的潜在征象

Review
PD-1/PD-L1 阻断剂在癌症免疫周期中的抵抗机制
