论文已发表
注册即可获取德孚的最新动态
IF 收录期刊
Original Research
支气管肺泡灌洗液中白细胞介素 27 对肺结核的诊断准确性

Original Research 值得关注
尿 C 肽肌酐比值作为鉴定成人隐匿性自身免疫性糖尿病(LADA)的一种非侵入性方法

Original Research
HIF1α/miR-520a-3p/AKT1/mTOR 反馈可促进胃癌细胞的增殖和糖酵解

Original Research
大肠癌中 SSBP1 的上调可调节线粒体质量

Original Research
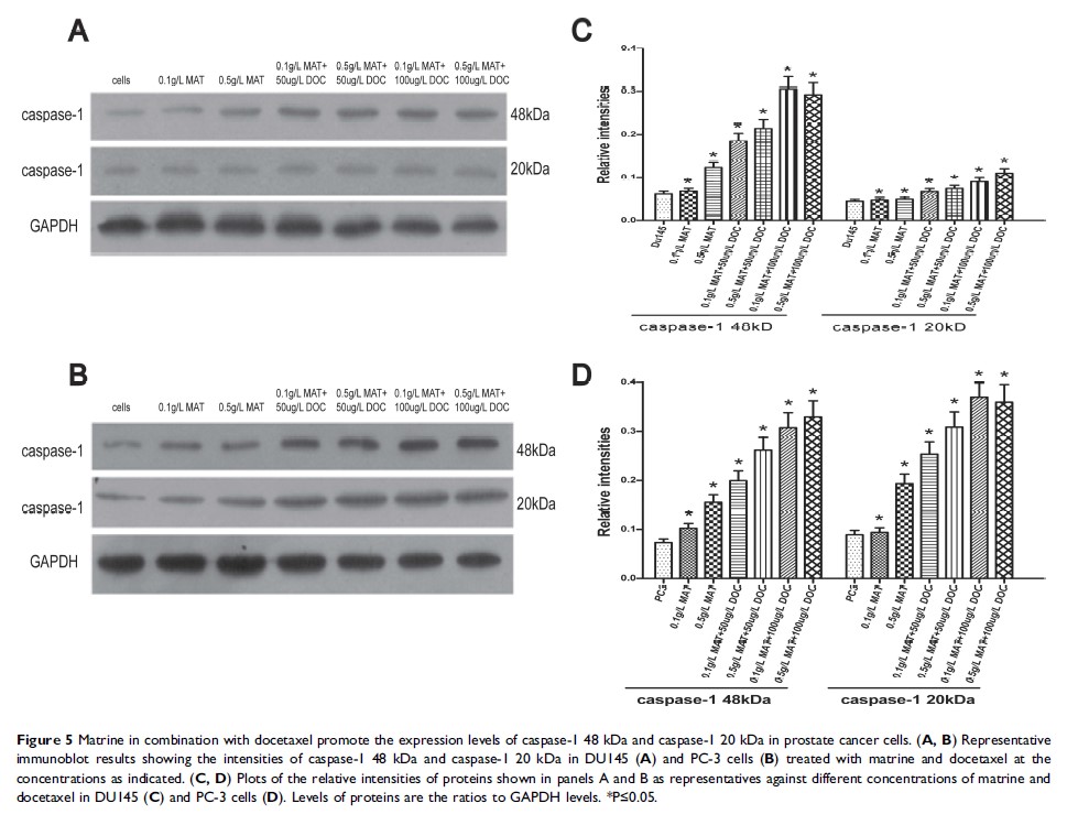
苦参碱联合多西他赛对去势抵抗性(雄激素非依赖性)前列腺癌的影响

Original Research
PRPH2 激活河马信号通路并抑制喉癌的侵袭及遏制失巢凋亡
