论文已发表
注册即可获取德孚的最新动态
IF 收录期刊
Original Research
hsa_circ_0008450 的沉默通过调控 microRNA-214-3p/EZH2 轴抑制肝癌的进展

Original Research
Cyclin D1 蛋白亚型的表达及其在宫颈癌中的预后意义

Original Research
基于影像的个性化反应预测碳离子放射疗法对前列腺癌患者的疗效

Case Report
罕见的同步多发性肺癌:鳞状细胞癌和小细胞肺癌

Case Report
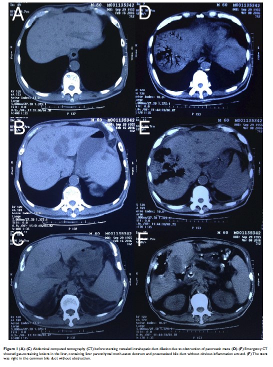
因胰腺癌而行胆管内支架置入术后由产气荚膜梭菌引起的致命性肝感染:一份病例报告

Methodology
OSacc:基于基因表达的肾上腺皮质癌生存分析网络工具
