论文已发表
注册即可获取德孚的最新动态
IF 收录期刊
Original Research
枸杞多糖通过调节内质网应激途径阻止顺铂诱导的 MLTC-1 细胞凋亡和自噬

Original Research
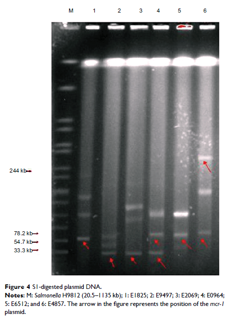
大肠杆菌中粘菌素抗性基因 mcr-1 的流行和分子特征: 中国大学医院临床感染分离株

Original Research
长链非编码 RNA AOC4P 对胃肠道间质瘤细胞的影响

Original Research
GPR35 的过表达通过 β-抑制蛋白/Akt 信号传导赋予 NSCLC 细胞的药物抗性

Review 值得关注
Diabetic gastroparesis: current challenges and future prospects

Original Research
生物活性肽 OH-CATH30 羧甲基壳聚糖纳米粒促进伤口无瘢痕愈合的研究
